Idiopathic pleuroparenchymal fibroelastosis (IPPFE) is an uncommon and recently defined condition characterized by fibrosis and thickening of dense and subpleural lung parenchyma, mainly in the upper lobes,1 presenting with clinical course similar to chronic fibrosing interstitial pneumonias.2 Thickening of visceral pleura combined with collagenic and intra-alveolar fibrosis and septal elastosis in abrupt transition to remaining lung parenchyma3 compose an overlapping pattern with other interstitial pneumonias, where bad prognosis, different therapeutic options and knowledge of this entity are essential in medical practice.
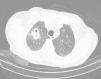
An 82-years-old male was referred to the Pulmonology Department due to right thoracic pain and episode of haemoptysis. A computed tomography (CT) scan showed a solitary pulmonary lesion in the upper right lobe (Fig. 1), with 18-fludeoxyglucose uptake on positron emission tomography-computed tomography.
A transthoracic needle biopsy was performed and lung parenchyma with mild septa enlargement due to fibrosis was observed with one edge exhibiting a group of atypical cells in acinar arrangement together with large eosinophilic cells with hyperchromatic nuclei. Immunohistochemistry studies were positivity for cytokeratin 7 (SP52), cytokeratin 5/6 (D5/16B4), vimentin (V9) and thyroid transcription factor (TTF1, SP141) – all from Ventana, AZ-USA; Periodic acid-Schiff (PAS) was also positive. The diagnosis of probable adenosquamous carcinoma was proposed, taking into consideration the available representative factors.
Additional study of the patient was made: atrial fibrillation, smoking habits and dyslipidaemia were his pathological conditions. Physical evaluation, blood tests and respiratory function tests were normal (forced expiratory volume−FEV1=96.7%). An upper right lobectomy and mediastinal lymphadenectomy was performed.
We received a RULobectomy of 133g weight gross and measuring 20cm×10.5cm×3.5cm with areas of irregular visceral pleura that on cut surface revealed pleural thickening and subpleural dense tissue with a nodule measuring 3cm×2.5cm×3cm; a caveated lesion with 1.5cm was also detected, surrounded by dense lung parenchyma.
Microscopically there was pleural thickening, with collagenous fibrosis (MT), and subpleural architectural distortion with elastosis and intra alveolar fibrosis (MT, EVG), with curled, short and randomly oriented elastic fibres. There were alveolar spaces and bronchioles imprisoned by the lesion, with bronchial associated lymphoid tissue hyperplasia and marked reactive changes in the epithelium (Fig. 2). The caveated lesion showed giant multinucleated cells, foreign body type, surrounded by fibroelastic band. In the periphery of the lesion, there was organizing pneumonia with inflammatory myofibroblastic polyps. An abrupt transition to the remaining lung parenchyma was registered, which showed emphysema and constrictive bronchiolitis.
Dense pleural and subpleural fibrosis with abrupt transition to non-affected pulmonary parenchyma (A, H&E 20×); subpleural elastosis and intra alveolar fibrosis with alveolar spaces and bronchioles imprisoned by the lesion, with bronchial associated lymphoid tissue hyperplasia (B, H&E 40×); diffuse and severe elastosis with curled, short and randomly oriented elastic fibres (C and D, EVG 100× and 200×).
The patient was revaluated three weeks after surgery. A chest X-ray showed minimal pneumothorax that disappeared in two weeks, without need for chest drainage.
IPPFE is an exceptional clinicopathological syndrome with its own radiological and histological features; there are fewer than 100 cases reported in the literature, first referred in 1992 by Amitani et al.4 and later characterized by Frank et al. in 20045; nowadays it is classified as a rare idiopathic interstitial pneumonia (IIP) by the updated American Thoracic Society/European Respiratory Society (ATS/ERS) classification.1
Clinically IPPFE does not show age or gender predilection and is not related to smoking, it presents normally with exertional dyspnoea and dry cough. Body weight loss may be registered and chest pain can occur as a consequence of pneumothorax.2 Patients with IPPEF exhibit disease progression in 60%, with death from disease occurring in 40%.1
Classical histology presents upper zone fibrosis of the visceral pleura, homogenous and prominent subpleural fibrosis and alveolar septal elastosis, with preservation of pulmonary parenchyma away from pleura and abrupt transition of affected to normal tissue; however these findings may not appear or be absent in small biopsies.3 In our case, classical histological elements were present, but the entrapped respiratory spaces with epithelial cells exhibiting marked reactive cellular atypia provided a diagnostic pitfall in transthoracic biopsy.
Radiological patterns may contribute to definite diagnosis with upper lobe pleural thickening and subpleural fibrosis and less/absent lower lobe involvement on high resolution computed tomography (HRCT),2,3 without reference to defined nodular pattern as seen in this case.
The main differential diagnoses are connective tissue diseases, asbestosis, fibrosing sarcoidosis, radiation/drug induced diseases and normal interstitial pneumonia, the latter mainly in biopsies6; the absence of occupational exposure to dusts and the histological combination of intra-alveolar fibrosis and septal elastosis should favour IPPFE diagnosis.3
Up till now therapeutic schemes have not shown efficacy in IPPFE, as it is refractory to steroids/immunosuppressive agents, but survival may reach 11 years in lung-transplantation associated cases; supporting care may be useful and oxygen support is mandatory in advanced stages as well as infection control.2,7
IPPFE is a distinct and well characterized entity with aggressive and rapidly progressive course and poor prognosis. The intense fibroelastosis may be associated with prominent inflammatory and reactive changes, making the differential diagnosis with other IIPs challenging and occasionally mimicking oncologic diseases, especially in small biopsies, with actual case reflecting a possible nodular pattern.
Conflicts of interestThe authors have no conflicts of interest to declare.







