Malignant pleural mesothelioma (MPM) originates in the mesothelial cells that line the pleural cavities. Most patients initially experience the insidious onset of chest pain or shortness of breath and have a history of asbestos exposure. It rarely presents as spontaneous pneumothorax. We report here two cases where malignant pleural mesothelioma presented with a spontaneous hydropneumothorax and was only discovered following surgery. We emphasise the need for a chest CT-scan preoperatively in older patients presenting with a secondary pneumo/hydropneumothorax.
O Mesotelioma Pleural Maligno (MPM) tem origem nas células mesoteliais que revestem as cavidades pleurais. A maioria dos pacientes sente, inicialmente, uma dor torácica insidiosa ou dispneia e tem uma história de exposição a abestos. Raramente apresenta-se como um pneumotórax espontâneo. Descrevemos dois casos em que o mesotelioma pleural maligno se apresentou com um hidropneumotórax espontâneo e só foi descoberto após a cirurgia. Enfatizamos a necessidade de uma TAC torácica pré-operatória, nos doentes idosos que se apresentem com um pneumo/hidropneumotórax secundário.
Malignant pleural mesothelioma (MPM) typically presents with a pleural effusion and pleural thickening. In patients presenting with a spontaneous pneumothorax, malignancy is an uncommon underlying cause and malignant pleural mesothelioma is rarely cited as one of the potential underlying pathologies. We hereby report two cases where malignant pleural mesothelioma presented with spontaneous hydropneumothorax.
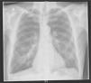
Patient 1A 71 year old male presented to the emergency department with a history of chest pain and shortness of breath. A chest X-ray (Fig. 1) showed a recurrent right hydropneumothorax, this was because in the previous two months, the patient had had two previous episodes of right pneumothorax which had been managed successfully by a right tube thoracostomy. He had no significant medical history. He was an ex-smoker with a 40 pack-year history. He also reported a heavy asbestos exposure in the past.
With the third episode, he was referred for surgical intervention while he still had the right-side tube thoracostomy in place. No chest CT-scan was performed.
During the operation, an initial attempt was made to carry out the procedure by thorascopy and the apex of the right upper lobe was excised using multiple firings of a surgical stapler. It was clear on re-inflation of the lung that there was a significant air leak with loss of peak inspiratory pressure on the ventilator so the procedure was converted to an open thoracostomy. Thoracostomy revealed dense adhesions between the apex of the right upper lobe and the adjacent mediastinum but no discrete bullae. The parietal pleura was mildly thickened but without any obvious evidence of neoplasia. A full parietal pleurectomy was carried out and the residual air leak was repaired.
Postoperatively, the patient made a routine recovery and was discharged home four days later. Histopathological examination of the resected pleura showed features of a malignant epithelioid mesothelioma. The patient was seen 4 weeks later as an out patient and was totally asymptomatic. He is still alive 16 months later.
As a pleurectomy procedure had already been performed and an extra pleural pneumonectomy is not the norm in our centre, the patient was referred to the oncologists for further management.
Patient 2A 70 year old male presented to his peripheral hospital with chest pain and shortness of breath and was diagnosed with a primary right-sided pneumothorax. Despite a correctly placed intercostal drain the pneumothorax failed to resolve and air leak persisted. On the 6th day after his initial tube thoracostomy the patient was transferred to our unit. He had no history of asbestos exposure but was a current smoker with a 45 pack year habit. His past medical history was significant, with hypertension and ischemic heart disease.
Pre-operative CXR (Fig. 2) showed a small right hydropneumothorax and a chest drain in place. No chest CT-scan was performed.
On admission to our hospital he had 2 attacks of pyrexia and was scheduled for a right open pleurectomy to allow better drainage of the suspected intra-pleural infection. Intra-operatively, a large bullae occupying most of the right upper lobe was identified and the pleura seemed relatively thickened. The hole in the bullae was identified and sewn over and a pleurectomy was performed. The post-operative stage was complicated by surgical emphysema and prolonged air leak and which necessitated further blood pleurodesis. This eventually settled and he was discharged home on the 15th post-operative day. The patient was seen 4 weeks later as an out patient and was totally asymptomatic. He is still alive 12 months after the surgery.
The histopathological examination of the pleural specimen revealed an unexpected epithelioid mesothelioma. He was referred to the oncologists for further management.
DiscussionMalignant mesothelioma rarely presents with spontaneous pneumothorax. Reports of such presentation in the literature tend to be anecdotal. Sheard et al. reported five such cases representing 11% of patients over 40 undergoing pleurectomy for pneumothorax in the course of 5 years.1 Earlier case series, however, have reported two cases of malignant mesothelioma presenting with pneumothorax in even younger patients without any known asbestos exposure.2,3,5 Alkhuja et al. reported four cases, the youngest of whom was 56 in age. In their series two of the four cases had a hydropneumothorax similar to our cases.4
The mechanism of pneumothorax in MPM, with or without large pleural effusion, is not clear, but it is suggested that it may be caused by the rupture of necrotic tumour nodules.6 Neither patient had a CT-scan of their chest preoperatively. We acknowledge that this would probably have changed management plans and might have suggested the presence of a malignant pathology as the cause of pneumothorax. It has been recently our practice to perform CT-scans of the chest on all patients over the age of 50 presenting with a spontaneous pneumothorax so as to rule out an underlying malignant cause or visualise big bullae. This practice is supported by other studies.7
As both of our patients had already performed a pleurectomy and we believe, as others do,8 that an Extra Pleural Pneumonectomy is not the rule in treating patients with malignant mesothelioma, further oncological management was the treatment of choice for our patients.
Between 2001 and 2009 we performed 302 VATS/open pleurectomies for pneumothoraces. Pleural specimens were sent for pathological examination in all cases. Only two cases of malignant mesothelioma were identified (0.4%). Apart from the positive asbestos exposure history in one of them, there were no clinical clues to raise the suspicion of malignant mesothelioma.
With an expected rise in the incidence of malignant mesothelioma over the next decade,9 it would be reasonable to assume that the number of atypical presentations including pneumothorax will also increase. Raising awareness of such atypical presentations may have important clinical implications. The tendency of many surgeons to discard pleurectomy specimens and the reluctance of pathologists to make a diagnosis of malignancy rather than florid mesothelial hyperplasia in a patient with spontaneous pneumothorax has been previously pointed out.1 Awareness of such an association may also favour chemical versus surgical pleurodesis in the relatively old frail patients.
ConclusionSpontaneous pneumothorax is a possible presentation for patients with MPM. Suspicion should increase in older patients with environmental exposure and with initial presentations of a hydropneumothorax on chest X-rays. A CT-scan of the chest is useful in this setting. Pleural histopathological examination should be a routine in patients undergoing pleurectomies for the management of pneumothorax.
Conflicts of interestsThe authors have no conflicts of interest to declare.







