Os mixomas pulmonares são tumores benignos muito raros e quase sempre de localização parênquimatosa, mas ocasionalmente podem ocorrer na árvore traqueo-brônquica. Estão descritos raros casos de mixomas pulmonares endobrônquicos na literatura médica.
Caso clínicoDoente do sexo feminino, de 40 anos, com história de asma e pneumonias de repetição à direita. A tomografia computadorizada (TC) do tórax revelou atelectasia do lobo médio. A broncofibroscopia revelou lesão tumoral polipóide, de limites bem definidos, causando obstrução total do brônquio lobar médio. A biopsia do tumor não foi diagnóstica. A tomografia por emissão de positrões (PET) demonstrou atividade metabólica baixa do tumor e ausência de evidência de malignidade noutros locais. A doente foi submetida a lobectomia média e o exame microscópico do tumor revelou um padrão lobular com células alongadas e estreladas, tipo fibroblasto, com estroma mixoide intercelular abundante, compatível com mixoma pulmonar.
ConclusãoO mixoma pulmonar é muito raro e a sua localização endobrônquica está descrita em poucos casos na literatura médica.
Pulmonary myxoma is an extremely rare benign neoplasm. It is mostly parenchymal but may occasionally occur within the tracheobronchial tree. There are very few reports of endobronchial myxoma.
Case reportWe describe a case of endobronchial myxoma in a 40-year-old female patient with a history of asthma and repeated right-sided pneumonia. Thoracic computed tomography (CT) showed medium lobe atelectasis. Fiber optic bronchoscopy revealed a polypoid, well-circumscribed tumor, causing total obstruction of the medium lobe bronchus. Biopsy of the mass was non-diagnostic. Further study included a positron emission tomography (PET) which demonstrated low metabolic activity of the tumor and no evidence of neoplasia in other location. The patient was submitted to a medium lobectomy and microscopic examination of the tumor revealed myxoid stroma with lobulated pattern, elongated and stellate cells, compatible with myxoma.
ConclusionPulmonary myxoma is extraordinary rare and endobronchial location is very few reported in medical literature.
Mixomas são tumores mesênquimatosos benignos e são o tipo de tumor primário mais comum em todas as idades no coração, especialmente na aurícula esquerda. Fadiga, síncope ou arritmias são as manifestações clínicas mais frequentemente associadas. Em cerca de 18% dos casos o tumor localiza-se na aurícula direita, frequentemente diagnosticado em consequência do estudo de tromboembolismo pulmonar recorrente1. Histologicamente, caracteriza-se por proliferação de células alongadas e estreladas, tipo fibroblasto, dispersas num estroma mixoide, características relativamente comuns em vários tipos de sarcomas2. O termo mixoma foi introduzido por Virchow para descrever um tumor que mimetiza a estrutura da geleia de Warthon do cordão umbilical, sendo atualmente reconhecidas várias neoplasias que adquirem aparência mixoide semelhante, nomeadamente a nível da pele, tecidos moles e osso3. A localização pulmonar é muito rara e usualmente é parenquimatosa, mas pode ocorrer no seio da árvore traqueo-brônquica, estando descritos poucos casos na literatura médica com localização endobrônquica2–4. A associação de mixoma primário pulmonar com outras neoplasias síncronas, nomeadamente com o adenocarcinoma pulmonar, está descrita5. Os autores apresentam um caso de mixoma pulmonar primário endobrônquico.
Caso clínicoMulher de 42 anos, ex-fumadora desde junho 2007 (5 UMA), trabalhadora em indústria têxtil desde os 13 anos. Antecedentes de asma brônquica desde a infância, habitualmente medicada com broncodilatadores inalados, seguida em Consulta Externa de Pneumologia. História de pneumonia lobar média em Junho de 2006, tratada em ambulatório, com boa evolução e sem aparentes sequelas. Desde há 3 anos com infeções respiratórias de repetição associadas a agravamento de dispneia. Salienta-se ainda história familiar significativa de asma (avós paternos, pai e irmão).
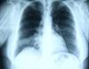
Em Junho de 2007 inicia queixas de tosse com expetoração mucosa escassa e pieira. Ao exame objetivo, de salientar sibilância à auscultação pulmonar na metade inferior do hemitórax direito, sem sinais de dificuldade respiratória ou outras alterações de relevo. Realizou radiografia torácica que mostrou hipotransparência de forma triangular no terço inferior do campo pulmonar direito (fig. 1). Complementou estudo imagiológico com TC torácica que revelou atelectasia do lobo médio e imagem nodular no brônquio lobar médio com cerca de 6mm (fig. 2). Analiticamente apresentava hemograma, ionograma, função hepática e renal sem alterações. As provas funcionais respiratórias revelaram síndrome obstrutiva ligeira. Realizou broncofibroscopia que mostrou formação tumoral na entrada do brônquio lobar médio, muito vascularizada, causando obstrução total deste (fig. 3). Não foi realizada biopsia da lesão pelo aspeto morfológico sugestivo de tumor carcinoide e pelo risco de hemorragia associado. A doente foi então submetida a broncoscopia rígida, sendo efetuada biopsia da lesão, cujo estudo anátomo-patológico foi inconclusivo.
A doente foi orientada para consulta de Cirurgia Torácica para avaliação pré-cirúrgica da lesão, que incluiu a execução de tomografia de emissão de positrões (PET), que não revelou qualquer foco de captação significativamente anormal do radiofármaco. A doente foi submetida a lobectomia do lobo médio em setembro de 2007, sem intercorrências.
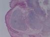
No exame anátomo-patológico observou-se, à macroscopia, o lobo médio com 37,2g e 9×7×2,5cm, com segmento brônquico de 0,5cm, e exteriorização de nódulo de 5mm de aspeto mixoide e de cor acinzentada. Microscopicamente, tratava-se de neoplasia benigna subepitelial, com estroma mixoide de padrão lobulado e células estromais fusiformes curtas ou estreladas, sem atipias. O estroma foi positivo para Azul de Alcian e as células estromais positivas para PAS e Vimentina. Não se documentou a presença de cartilagem mesmo em cortes seriados, mais profundos, nem com recurso a estudo imuno-histoquímico. Este conjunto de características morfológicas é compatível com mixoma pulmonar primário (figs. 4 a 7).
Em TC torácica de reavaliação confirmou-se a ausência do lobo médio por exérese cirúrgica, sem outras alterações de relevo. Atualmente, a doente encontra-se assintomática, após 3 anos de vigilância na consulta externa de Pneumologia.
DiscussãoOs mixomas são tumores mesenquimatosos benignos que podem ocorrer em muitas localizações. O tipo mais comum é o mixoma primário cardíaco e ocorre maioritariamente no adulto, correspondendo a 30-50% dos tumores cardíacos. Apesar de a maioria ser esporádica, cerca de 7% dos casos são familiares com transmissão autossómica dominante6. A associação entre mixoma auricular e mixomas extracardíacos (com envolvimento de vários locais) ou síndrome de Cushing está descrita como síndrome de Carney6,7 Cerca de 71% dos mixomas ocorrem no coração, 41% na pele e 7% na cavidade oral (geralmente no palato)8. Mixomas esporádicos extracardíacos são extremamente raros, com poucos casos descritos na literatura médica. A apresentação clínica, o tratamento e a evolução estão bem documentados em relação ao mixoma cardíaco1.
A incidência de tumores síncronos pulmonares benignos e malignos está descrita, mas é muito baixa, não se conhecendo associação entre estas entidades. Os mixomas geralmente não metastizam, contudo, estão descritas metástases para o cérebro, osso e tecidos moles e a recidiva local do tumor9–12, sendo atribuídas à possibilidade de embolização ou origem sarcomatosa da neoplasia13, estando aconselhada uma longa vigilância nestes casos14.
Na nossa doente o mixoma foi detetado na sequência do estudo de infeções respiratórias de repetição e agravamento de dispneia em doente com antecedentes de asma. A presença de tumor endobrônquico esteve na base do mau controlo da doença asmática e das infeções respiratórias de repetição. Perante a suspeita de malignidade, optou-se pela exérese cirúrgica da lesão. O exame microscópico do tumor revelou células estreladas dispersas num estroma mixoide, com vasos de paredes finas, características típicas do mixoma. Não foi observada atividade mitótica, arquitetura microcística ou pleomorfismo nuclear, assim como uma diferenciação cartilagínea ou epitelial evidente esteve ausente em estudo imuno-histoquímico. Estas características morfológicas e imuno-histoquímicas, nomeadamente a presença de estroma mixoide e a ausência de diferenciação condromatosa ou epitelial, permitem o diagnóstico diferencial com o tumor benigno mesenquimatoso pulmonar mais frequente, o hamartoma.
A sua evolução clínica benigna é semelhante a outros casos de mixoma pulmonar primário2–4,15,16, sem recorrência da doença após longo follow-up. A apresentação clínica está relacionada com a localização do tumor. Lesão endobrônquica pode causar tosse, sibilância e infeção recorrente, enquanto um nódulo solitário do pulmão diagnosticado acidentalmente pode ser forma de apresentação de localizações mais periféricas16. A presença de estroma mixoide, vasos de paredes finas, células estreladas e alongadas, combinada com a ausência de diferenciação cartilagínea, epitelial, lipomatosa ou neural, são as características chave no diagnóstico do mixoma, e estão presentes nos outros casos publicados2–4,15,16.
Na literatura médica são escassos os dados no que diz respeito ao tratamento, evolução e prognóstico dos mixomas pulmonares primários, pelo que resolvemos apresentar este caso.












