A osteonecrose da mandíbula (ONM) pode surgir como complicação do tratamento com bifosfonatos. Esta patologia tem sido descrita em doentes com cancro e o seu desenvolvimento associado a exposição prolongada a altas doses de bifosfonatos. Má higiene dentária, história de uso de próteses ou extração dentária, quimioterapia, corticosteroides e radioterapia da cabeça e pescoço são fatores de risco reportados. Nas fases iniciais pode ser assintomática, contudo, o doente posteriormente desenvolve dor significativa e exposição óssea progressiva. Os autores descrevem 3 casos de ONM em doentes com cancro do pulmão após exposição prolongada a bifosfonatos e na presença de fatores de risco conhecidos. A ONM pode atingir seriamente a qualidade de vida dos doentes com cancro. O diagnóstico precoce poderá reduzir ou mesmo evitar as consequências da lesão óssea progressiva.
Osteonecrosis of the jaw (ONJ) can occur as a complication of bisphosphonate therapy. This condition has been described in cancer patients and its development has been associated with prolonged exposure to high doses of bisphosphonates. Bad dental hygiene, a history of prosthesis or dental extraction, chemotherapy, corticosteroids, and radiation therapy of the head and neck are risk factors reported. In the initial stages it may be asymptomatic, but the patient subsequently develops severe pain and progressive exposed bone. The authors describe three cases of ONJ in lung cancer patients after prolonged exposure to bisphosphonates and there were known risk factors. ONJ can seriously affect the quality of life of cancer patients. An early diagnosis may reduce or avoid the consequences of progressive bone lesion.
A metastização óssea nos doentes com cancro do pulmão é um achado frequente na apresentação ou durante a progressão da doença. O tratamento com bifosfonatos tem demonstrado eficácia neste contexto15.
Desde os primeiros relatos em 2003, uma associação entre bifosfonatos e osteonecrose da mandíbula (ONM) tem sido descrita611. O mecanismo fisiopatológico subjacente à ONM ainda não se encontra totalmente esclarecido, mas uma insuficiente irrigação sanguínea e disseminação secundária de microrganismos parecem estar implicados1214.
A ONM ocorre principalmente em doentes com exposição prolongada a altas doses de bifosfonatos endovenosos (EV) e na presença de fatores de risco611. Nos doentes com cancro, o desenvolvimento da osteonecrose associada aos bifosfonatos é mais comum no mieloma múltiplo, cancro da mama, próstata e pulmão1517.
Nas fases iniciais o doente pode estar assintomático, contudo, posteriormente desenvolve dor importante e exposição óssea progressiva18,19.
Casos clínicosCaso 1Homem de 49 anos de idade, com adenocarcinoma de pulmão em estádio IV(M1 pulmonar, cerebral e óssea) diagnosticado em maio de 2010, foi submetido a 2 linhas de quimioterapia, radioterapia cerebral (30Gy, 12 frações) e 12 tratamentos com ácido zolendrónico 4mg EV, a cada 3 semanas. Durante o curso da doença foi prescrita corticoterapia de forma continuada. O doente tinha uma história de extração dentária com má cicatrização, 2 meses antes do início de tratamento com bifosfonatos.
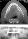
Em março de 2011, após 10 meses de exposição ao ácido zolendrónico EV, o doente desenvolve trismo com dor e tumefação dos tecidos moles na mandíbula direita. Nessa altura, estava a fazer erlotinib 150mg/dia como terapêutica de terceira linha. A tomografia computadorizada (TC) da face mostrou uma marcada modificação da trabeculação óssea da mandíbula direita e a ortopantomografia confirmou alterações compatíveis com osteonecrose (fig. 1).
O doente foi inicialmente tratado com vários cursos de antibióticos e analgésicos, mas por manter exposição óssea progressiva com sangramento associado foi-lhe proposto tratamento cirúrgico. Em janeiro de 2012 foi submetido a cirurgia maxilo-facial, 8 meses após a suspensão do ácido zolendrónico. Na avaliação a longo prazo foi confirmada uma boa recuperação. O exame histopatológico do tecido ósseo não revelou sinais de metástase.
Caso 2Homem de 59 anos de idade, com carcinoma não-pequenas células do pulmão em estádio IV (M1 óssea) diagnosticado em janeiro de 2008, efetuou 2 linhas de quimioterapia, radioterapia torácica (30Gy, 12 frações), 35 tratamentos com pamidronato 90mg EV e, posteriormente, ácido ibandrónico por via oral 50mg/dia. Em associação com a quimioterapia realizou ainda pulsos de corticóide. O doente apresentava uma história de uso de prótese dentária que condicionava traumatismo do rebordo alveolar e má higiene oral.
Em novembro de 2010 iniciou queixas álgicas associadas a exposição óssea no local do traumatismo. A TC da face e a ortopantomografia confirmaram o diagnóstico. Nessa altura, o doente estava medicado com pemetrexedo e tinha realizado 26 meses de tratamento com o pamidronato EV a cada 3 semanas, seguido de 9 meses de ácido ibandrónico oral diário.
Os bifosfonatos foram suspensos e foi iniciado tratamento conservador. No entanto, posteriormente, ocorreu fratura patológica da mandíbula direita e o doente foi submetido a reconstrução cirúrgica em maio de 2011 (fig. 2). O exame histopatológico não demonstrou metástase do tecido ósseo.
Caso 3Homem de 64 anos de idade, com adenocarcinoma em estádio iv (M1 óssea) diagnosticado em junho de 2011, foi tratado com 2 linhas de quimioterapia, radioterapia torácica (45Gy, 18 frações) e 18 tratamentos com ácido zolendrónico 4mg EV até junho de 2012. Foi igualmente prescrita corticoterapia crónica. O doente tinha uma história de extração dentária no decorrer do tratamento do cancro de pulmão.
Durante a quimioterapia de segunda linha com pemetrexedo e após 12 meses de tratamento com ácido zolendrónico EV a cada 3 semanas, o doente refere disestesia da mandíbula. A TC da face revelou uma irregularidade da cortical da mandíbula direita e a ortopantomografia demostrou imagem compatível com osteonecrose (fig. 3). O tratamento com os bifosfonatos foi interrompido, tendo sido iniciada antibioterapia, resultando em melhora clínica e sem complicações documentadas até à data.
DiscussãoA ONM associada aos bifosfonatos pode complicar o tratamento do doente com cancro e metástases ósseas. Como ilustram estes 3 casos clínicos, a ONM ocorre principalmente em doentes com exposição prolongada a altas doses de bifosfonatos EV e na presença de fatores de risco.
Os bisfosfonatosApesar do facto da ONM poder ocorrer com qualquer tipo de bifosfonato, parece que o risco com o ácido zolendrónico é significativamente mais elevado em comparação com os outros. Bamias et al. publicaram um estudo prospetivo de 17 doentes com cancro que desenvolveram ONM após tratamento com bifosfonatos, mostrando que o risco cumulativo de desenvolver ONM aumentou ao longo do tempo de exposição aos bifosfonatos, e o risco relativo foi significativamente maior no grupo do ácido zolendrónico9. Boonyapakrn et al. também publicaram resultados que confirmaram o estudo anterior, relatando uma conclusão adicional que o tempo médio de indução até à exposição óssea foi menor nos doentes que receberam ácido zolendrónico11. Estes resultados podem explicar a precocidade do desenvolvimento ONM nos nossos 2 doentes que receberam ácido zolendrónico, depois de 10-12 meses respetivamente, em comparação com os 35 meses observados no doente que recebeu o pamidronato seguido, mais tarde, de ibandronato oral.
O risco de desenvolver ONM também parece estar relacionado com a via de administração. Na coorte de Fleisher et al. em média o início de ONM nos doentes submetidos a tratamento com bifosfonatos EV é anterior ao início médio da ONM nos doentes submetidos a terapêutica oral20.
Os fatores de riscoUma história de remoção dentária ou outro tipo de tratamento cirúrgico, assim como o uso de prótese dentária, têm sido implicados no desenvolvimento da osteonecrose associada aos bifosfonatos17. Dois dos nossos doentes tinham uma história de procedimento dentário e o outro usava uma dentadura que causou traumatismo de rebordo alveolar.
Embora a incidência seja incerta, a forte associação à patologia e intervenção do foro odontológico destaca a necessidade de prestar muita atenção à saúde oral neste grupo de doentes15,21. A maioria das séries mostra que a ONM ocorre principalmente após um procedimento cirúrgico oral, em cerca de 50 a 80% dos doentes11,15,16.
Relativamente a essa questão, as orientações da American Society for Bone and Mineral Research sugerem que os doentes medicados com bifosfonatos devem ser encorajados a manter uma boa higiene oral. Sempre que possível, o doente deve ter uma avaliação odontológica antes e durante a totalidade do tratamento19. Esta Task Force americana também recomenda que o tratamento com bifosfonatos só deve ser iniciado após a recuperação dos procedimentos odontológicos e a cirurgia dento-alveolar eletiva deve ser evitada durante o tratamento19.
Outros fatores de risco descritos também estiveram presentes nos 3 casos relatados, tais como os corticóides, quimioterapia e radioterapia de cabeça e pescoço. Devido à diversidade de regimes de quimioterapia e tempo de administração, torna-se impossível analisar a contribuição dos vários regimes no desenvolvimento da osteonecrose. O mesmo acontece com corticóides e radioterapia. A maioria dos doentes que desenvolve osteonecrose foi tratada com um ou mais destes tratamentos9,11.
TratamentoO oncologista deve estar ciente da ONM induzida pelos bifosfonatos, a fim de fazer um diagnóstico precoce. O seguimento adicional deve ser realizado por um especialista em patologia ondontológica22.
O tratamento de osteonecrose nos doentes que receberam bifosfonatos é essencialmente preventivo. Quando a ONM se desenvolve os sintomas devem ser tratados e a dor controlada com analgesia adequada. Se houver evidência de infeção o tratamento deve incluir antibióticos8,2224. Quando a infeção e a exposição óssea persistem o tratamento cirúrgico deve ser considerado caso a caso18,19.
Alguns especialistas sugerem a suspensão da administração dos bifosfonatos EV em doentes oncológicos com ONM estabelecida, se a situação clínica o permitir. No entanto, não há nenhuma evidência científica de que a descontinuação do tratamento vá promover a cura do tecido ósseo necrótico. A decisão de descontinuar os bifosfonatos deve ser avaliada com base numa análise risco-benefício18,19,2225.
ConclusãoA ONM atinge seriamente a qualidade de vida de doentes com cancro, produzindo significativa morbidade e deixando sequelas permanentes. O diagnóstico precoce da ONM poderá reduzir ou evitar as consequências da lesão óssea progressiva. No entanto, o mais importante é garantir uma abordagem preventiva e estabelecer protocolos entre oncologista e dentista para melhorar o atendimento ao doente.
Responsabilidades éticasProteção de pessoas e animaisOs autores declaram que para esta investigação não se realizaram experiências em seres humanos e/ou animais.
Confidencialidade dos dadosOs autores declaram ter seguido os protocolos do seu centro de trabalho acerca da publicação dos dados de pacientes e que todos os pacientes incluídos no estudo receberam informações suficientes e deram o seu consentimento informado por escrito para participar nesse estudo.
Direito à privacidade e consentimento escritoOs autores declaram que não aparecem dados de pacientes neste artigo.
Conflito de interessesOs autores declaram não haver conflito de interesses.








